最新文章 Derniers articles
- 传上海疫情内部会议 “ 没有必要防,也防不住 ” (图/视频)2023-01-01时事新闻上海疫情 , 会议摘要, 感染 , 疫苗 , 尸体近日,网传一份来自中国上海的新冠(COVID-19)疫情内部会议摘要,
- 武汉作家方方发朋友圈 再记录人间惨剧 (组图/视频)2023-01-01时事新闻方方, 朋友圈, 中共病毒, 人间惨剧 , 方方武汉日记中共病毒(COVID-19、武汉肺炎、新冠病毒)在共产党实施了严苛的3年清零后,
- 2个故事 揭开他们大难不死的秘密 2023-01-01历史文化大难不死 , 瘟疫 , 地震 , 幸存 , 庾衮俗话说:大难不死,必有后福。每次发生大的灾难时,
- 岁末年终浙江多地有 “ 火球 ” 从天而降 是何兆头?2023-01-01社会百态陨石, 不祥12月15日傍晚,一颗巨大的 “ 火球 ” 从天而降,
- 上海长征医院副院长缪晓辉自曝染疫 (组图)2022-12-30中国政局缪晓辉, 长征医院, 染疫 , 副院长, 中共病毒中共第二军医大学第二附属医院(上海长征医院)原副院长缪晓辉,
- 中国疫情严重程度令人惊讶?飞米兰班机52%阳性 (图)2022-12-30欧洲新闻Covid-19 , 意大利, 中国, 阳性 , 筛检中国COVID-19疫情升温之际放宽了出入境管制,
- 北京上海重症激增 中国COVID死亡人数将加速 (图)2022-12-30时事新闻上海医院 , 急诊 , 患者 , 疫情死亡 , Airfinity12月30日陆媒报导,上海多家三级医院急诊量猛增,
- 红二代不忍了 痛批司马南 力挺张文宏!军队三释特殊信号 (视频)2022-12-30视频在线 中共 , 中国疫情, 红二代 , 司马南 , 张文宏观众朋友大家好, 欢迎收看中国内幕节目,我是禹同。
- 大搞爱国卫生运动 习近平葫芦里卖什么药?(图)2022-12-29时事新闻爱国卫生运动, 习近平 , 病毒 , 细菌战12月初,中国老百姓在防疫清零突然解封后遭遇了巨大的苦难。
- 危机重重 习近平民主生活会再喊 “ 绝对忠诚 ” (图)2022-12-29中国政局习近平 , 绝对忠诚 , 民主生活会 , 常委 , 政治局委员正值中国处于疫情大爆发时期,中共中央政治局日前召开所谓的民主生活会,
- 疑部队染疫人数飙升?前陆军后勤部部长韩志庆死亡 (图)2022-12-29中国政局韩志庆 , 部队, 染疫 , 军人 , 北京卫戍区本月初中国疫情防控骤然解封后,多地阳性病例数激增。
- 传中共部署传播病毒 四川超5200万人感染成牺牲品?(图/视频)2022-12-29社会百态四川德阳 , 什邡 , 新冠感染, 调查, 学校12月26日,四川省疾控中心发布调查问卷,
- 2022岁末惨剧 传亲人小区烧尸 火葬场已挤爆 (视频/图)2022-12-29社会百态中国大陆 , 疫情 , 火葬场爆满 , 亲人 , 小区烧尸2022已岁末,中国大陆目前疫情不明、持续激增,
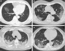
- 大陆疯传原始毒株重现 医护曝恐怖 “ 白肺 ” 照片 (图/视频)2022-12-27时事新闻白肺 , 中国大陆 , 疫情, 原始毒株, 确诊者中国大陆各省近日染疫和死亡人数飙升,多地火葬场不堪负荷。
- 中国出现致病性和致死率更强的新变异毒株 (图)2022-12-27时事新闻中国染疫 , 专家 , 变异 , 毒株 , 疫苗随着中国政府在无预警、无准备、无计划的情况下突然松绑 “ 动态清零 ” 的极端防疫封控措施,




